As Etapas da Transição de Células Procariontes para Eucariontes Complexas
A transição das células procariontes para eucariontes complexas é um dos processos mais fascinantes da biologia. Essa transformação não aconteceu...
Leia MaisDetailsA transição das células procariontes para eucariontes complexas é um dos processos mais fascinantes da biologia. Essa transformação não aconteceu...
Leia MaisDetailsNo campo da odontologia, as próteses parciais removíveis (PPR) desempenham um papel vital na reabilitação de pacientes com perdas dentárias....
Leia MaisDetailsA teoria da endossimbiose é uma das explicações mais fascinantes sobre a origem das organelas celulares. Compreender como as mitocôndrias...
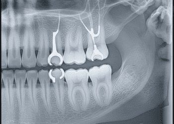
Leia MaisDetailsA radiologia odontológica é uma ferramenta indispensável para o diagnóstico preciso em tratamentos dentários. No entanto, a preparação do paciente...
Leia MaisDetailsA origem das células eucariontes é uma questão central na biologia celular. Ao longo da evolução, acredita-se que essas células...
Leia MaisDetailsDesde sua descoberta no final do século XIX, a história da radiologia odontológica tem sido marcada por inovações e avanços...
Leia MaisDetailsA história da vida na Terra é intrinsecamente ligada à capacidade de alguns organismos de converter luz solar em energia....
Leia MaisDetailsO armazenamento de filmes radiográficos é um aspecto crítico dentro da radiologia, influenciando diretamente a qualidade das imagens e a...
Leia MaisDetailsA Terra primitiva, um ambiente repleto de condições adversas e um cenário ainda não moldado pela vida como a conhecemos,...
Leia MaisDetailsO processamento radiográfico é uma etapa fundamental na obtenção de imagens de qualidade, essenciais para diagnósticos precisos na área da...
Leia MaisDetailsStorini Odontologia é um portal de conteúdo voltado para estudantes e profissionais da área odontológica que buscam materiais organizados e de fácil acesso. A plataforma reúne apostilas, livros digitais, guias práticos e conteúdos acadêmicos que abrangem desde os primeiros períodos até níveis mais avançados.
Com uma estrutura simples e intuitiva, o site facilita a busca por temas específicos, ajudando a economizar tempo e melhorar o desempenho nos estudos e na prática clínica.
© 2026 Storini Odontologia - Seu portal de conteúdo de odontologia